Fungi are commonplace in the environment and some are even considered normal inhabitants of the skin, gastrointestinal tract and other mucous membrane surfaces. In most situations, healthy birds can ward off infection if their immune systems are intact and fully operational. In other cases, however, the immune system may be compromised leading to the development of serious infections. Paramount to properly managing fungal infections in avian species is the ability to recognize infection early in the course of disease, to administer appropriate antifungal medications for the location and severity of infection, and to continually assess a patient's response to therapy. The scope of this article is to provide a brief overview of several fungal diseases in companion avian species.
Fungi are commonplace in the environment and some are even considered normal inhabitants of the skin, gastrointestinal tract and other mucous membrane surfaces. In most situations, healthy birds can ward off infection if their immune systems are intact and fully operational. In other cases, however, the immune system may be compromised leading to the development of serious infections. Paramount to properly managing fungal infections in avian species is the ability to recognize infection early in the course of disease, to administer appropriate antifungal medications for the location and severity of infection, and to continually assess a patient's response to therapy. The scope of this article is to provide a brief overview of several fungal diseases in companion avian species.

Michael P. Jones, DVM, Dipl. ABVP
Infections with
Aspergillus
sp, most commonly
Aspergillus fumigatus
, affect a wide variety of free-ranging and captive avian species. Although considered to be infectious,
Aspergillus
sp are noncontagious, ubiquitous, saprophytic organisms.
A. flavus
,
A. niger
,
A. nidulans
and
A. terreus
are also considered to be pathogenic in avian species.
All birds are susceptible to infection, especially young birds or those with compromised immune systems. Overcrowding, poor sanitation, poor ventilation, poor nutrition (e.g. hypovitaminosis A), exposure to respiratory toxins, age, concurrent infection and humid/dry dusty environments may facilitate exposure to an overwhelming number of spores and ultimately, the development of an infection.

Photo 1: Aspergillus sp hyphae from a nasal flush in an Amazon parrot. 100x.
Many wild avian species may be affected including raptors (goshawks, red-tailed hawks, and gyrfalcons), galliformes (pheasant, quail and turkeys), waterfowl (diving and shorebirds) and penguins. Among companion bird species there seems to be a higher prevalence of infection in blue-fronted Amazon parrots, African grey parrots and mynah birds.
Aspergillosis is often classified as either an acute or chronic disease. Acute diseases are often seen in birds exposed to an overwhelming number of fungal spores over a short period of time. The result is rapid with massive colonization of the lungs leading to a miliary granulomatous disease.
Chronic diseases may occur secondary to immunosuppression, concomitant disease or other stressor that limits the ability of the birds to fight off infection. Here granulomatous lesions often appear in areas of high oxygen tension and low blood flow such as the thoracic and abdominal air sacs and syrinx. It is important to note that Aspergillus sp spores may also spread hematogenously to other organs as a result of fungal colony extension into neighboring vessels as well as direct extension into pneumatic bones, the coelomic cavity and surrounding structures. Fungal colonization and infection may also be limited to the specific point where the organisms enter the body including the oropharynx, gastro-intestinal tract, the eye, kidney, bone sinuses and the central nervous system.
Clinical signs vary depending upon the location and severity of infection and the integrity of the host's immune system; although peracute and acute death without any clinical signs can occur. Birds with acute infections usually exhibit a change or loss of voice, dyspnea, open-mouthed breathing, weakness, lethargy, depression, weight loss, anorexia and ataxia, paresis or paralysis resulting from CNS infection and death. Progression of the acute form is often very rapid.
The diagnosis of aspergillosis is, at times, extremely difficult and usually involves a thorough history, physical examination, laboratory diagnostics (CBC, biochemical panel, protein electrophoresis), radiography, endoscopic examination of the respiratory tract and coelomic cavity, cytology, serological testing, fungal culture and histopathology. Serologic tests performed at the University of Miami (antigen and antibody tests) and the University of Minnesota (ELISA for antibody) are available but must be interpreted carefully.
Control and treatment of aspergillosis can be difficult as well as expensive. Treatment often consists of antifungal therapy and supportive care. Antifungal medications that have been used in avian species include itraconazole, clotrimazole, terbinafine, enilconazole and amphotericin B. The latter of which is the only fungicidal drug available. Treatment and ultimately response to therapy may differ depending upon the severity and location of the infection. Therapy is usually long-term with patient response and serological testing used to monitor progress and response to therapy. The prognosis is usually considered poor. Most commonly, itraconazole (Sporonox)(Janssen Pharmaceutical, NV, Beerse, Belgium) is administered at a dose of 5-10 mg/kg orally once daily for most avian species. Extreme caution should be used if treating African grey parrots (Psittacus erithacus) with itraconazole. While some avian practitioners avoid the use of itraconazole in African grey parrots, others use a reduced dosage of 2.5-5.0 mg/kg given orally once daily. These patients should be monitored closely for anorexia and depression, which is indicative of possible toxicity related to itraconazole administration. Amphotericin B (X-Gen Pharmaceuticals Inc., Northport, N.Y.) is also commonly used in conjunction with other drugs to treat aspergillosis infections in avian patients and is administered intravenously (1.5 mg/kg IV every 8hrs for 3-7 days), intratracheally (1 mg/kg IT diluted to 1cc volume in sterile water every 12 hrs for 5 days), by intraosseous catheter (1.5 mg/kg every 6 hrs for 5 days or applied directly to granulomatous lesion in the coelomic cavity. Terbinafine hydrochloride (Novartis Pharmaceuticals) has also been used to treat fungal infections in avian species at a dose of 10-15 mg/kg given orally every 12-24 hours. However, it is considered to have poor intrinsic activity against some common yeasts and molds, which suggests that combination with an azole (fluconazole or itraconazole) or amphotericin B may be required if monotherapy does not result in clinical cure of the patient. For fungal infections involving privileged sites such as the eye or brain fluconazole (Pfizer Inc.) may be considered the drug of choice. However, it is also important to note that hydroxyitraconazole, the active metabolite of itraconazole is also able to penetrate into the CNS and may also be somewhat effective in treating fungal granulomatous lesions if present in the brain. Unfortunately, there is no vaccine currently available for the management of aspergillosis.
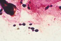
Candida albicans
is another opportunistic yeast commonly found in the environment and may be a normal inhabitant of the gastrointestinal tract of avian species. Diseases are often seen in juvenile avian species following disruption of normal gastrointestinal flora following prolonged antibiotic administration, especially tetracyclines or concurrent illness.

Photo 2: Budding Candida albicans in feces.
Candidiasis is also known as "thrush" and occurs when superficial colonization of the gastrointestinal mucosa progresses to deep-tissue invasion. The result is uninhibited growth and colonization of the gastrointestinal tract by the organism. If unchecked, Candida sp may become systemic allowing for dissemination to occur.
Clinical signs of candidiasis vary depending upon the location of infection. Local infections within the oropharynx may cause difficulty or reluctance to swallow food and halitosis. Oropharyngeal infections commonly results in psuedomembranes/plaques of necrotic debris overlying the mucous membranes or catarrhal inflammation giving the mucous membranes a "Turkish towel" appearance. Infection within the crop may result in regurgitation, vomiting, delayed crop emptying, anorexia, palpable thickening of the crop and ingluviolith formation. Proventricular and ventricular infections may cause vomiting, weight loss, diarrhea and general malaise. Candida sp may also colonize the respiratory tract leading to dyspnea, ocular or nasal discharge and sneezing. Less commonly, Candida sp may also infect ocular tissues, skin, bone marrow, liver, pericardial tissues and the CNS (canaries). Candida parasilosis has been reported to cause systemic infection of the bone marrow and liver as well as splenic degeneration.
Diagnosis of candidiasis is usually based upon the presence of budding Candida sp. (3-6 micrometers in diameter) with Grams', Diff-Quik, new methylene blue or lactophenol cotton blue stains of the crop contents, feces, or regurgitated/vomited material or lesion(s). Skin scrapings and celophane tape tests may also be performed to aid in the diagnosis of suspected yeast infections of the skin.
Treatment consists of identifying and resolving predisposing factors if any, and antimicrobial therapy with nystatin, fluconazole, itraconazole or amphotericin B.
Candida
sp might develop resistance to some antifungal medications. For example, Fluoropyrimidines such as flucytosine may not be the best choice for treating
Candida
sp infections. Klepser ME suggests that 10 percent of all
C. albicans
are intrinsically resistant to flucytosine and another 30 percent exposed to the drug may develop resistance, at least in humans. Most commonly nystatin (Alpharma USPD Inc., Baltimore) is administered (100,000 IU/kg orally twice daily). For severe infections involving tissue invasion or resistant infections, fluconazole given at 20 mg/kg orally every 48 hours for two to three treatments might be effective. Environmental factors such as poor sanitation must be addressed to improve clinical outcome of disease in young birds.

Suggested Reading
Disease caused by the saprophytic fungus
Cryptococcus neoformans
, which may be found in soil contaminated with pigeon feces, is uncommon yet an important fungal disease of avian species. Cryptococcosis has been reported in several avian species including small passerines and companion psittacines, and some avian species such as feral pigeons may serve as carriers for the organism. Avian and exotic pet practitioners should also be aware of its zoonotic potential. Nosanchuk JD et al described the possible transmission of
C. neoformans
from a cockatoo to a 72-year-old woman who was receiving immunosuppressive medications following renal transplantation.
C. neoformans
isolates strongly suggest that the patient's infection resulted from exposure to aerosolized cockatoo excreta.
Clinical signs of Cryptococcus infections may be non-specific and include weakness, lethargy, depression, anorexia, diarrhea, dyspnea, weight loss, blindness and paralysis. Neurologic signs may occur with CNS (brain and meningeal) involvement. Moderate to severe dyspnea may be seen with involvement of both the upper or lower respiratory tract.
Ante-mortem diagnosis of Cryptococcosis is difficult. A definitive diagnosis of Cryptococcosis requires demonstration of the oval to round yeast with a mucopolysaccharide capsule on cytologic or histologic examination of tracheal washes or exudates and by isolation and culture. A gelatinous, mucoid exudate may be noted within the long bones, respiratory tract, coelomic cavity, sinuses and brain at necropsy. CNS signs in any avian species with gelatinous mucoid exudates is considered highly suspicious for Cryptococcosis.
Avian veterinarians should use extreme caution when handling patients suspected of having Cryptococcosis. Zoonotic infections may occur through inhaling dust from dried droppings of pigeons, starlings and other species. In avian patients, Amphotericin B, itraconazole and ketoconazole have been recommended as possible treatment options; however, fluconazole may be a better choice for infections of the CNS. Prognosis for successful treatment is extremely poor.
Rhodotorula mucilaginosa
is a yeast that infects the skin and is occasionally seen in raptors (especially falcons). The organisms typically cause greasy, yellowish-brown crust overlying cracked and discolored areas of skin in the axillary area of the wings or between the thigh musculature and the body wall. Without treatment, lesions may become hyperkeratotic resulting in proliferative, horny growths on the effected skin.
Diagnosis of infection is based on physical examination, cytology, culture or histopathology of infected tissues. Treatment requires removal of horny growths if present and several weeks of therapy with a topical antifungal cream. Topical or systemic antibiotics should be considered to prevent secondary bacterial infections from developing. Additionally, movement of the infected area should also be restricted to allow the wounds to heal.
The saprophytic fungi that make up this group of organisms causes disease of varying forms depending upon the organ system effected. Clinical signs of disease may be the result of enteritis, air sacculitis, osteomyelitis, myocarditis and nephritis. Mycotic infections due to
Mucor
sp have been reported in African grey parrots. Ante-mortem diagnosis is uncommon and no effective treatment has been reported.
From exam room tips to practice management insights, get trusted veterinary news delivered straight to your inbox—subscribe to dvm360.