
Emergency, critical and trauma patients benefit greatly from these pain medications, says criticalist Dr. Garret Pachtinger.
Dr. Pachtinger is an emergency and critical care clinician at Veterinary Specialty and Emergency Center in Levittown, Pennsylvania, and Philadelphia, Pennsylvania. He is also the chief operating officer for VetGirl.

Emergency, critical and trauma patients benefit greatly from these pain medications, says criticalist Dr. Garret Pachtinger.

Emergency and critical care specialist Dr. Garret Pachtinger shares the veterinary monitors he couldnt live without and explains why theyre so vital.

Tools that have been around for years are more useful when we understand them better, and new tools can increase patients quality of life, says emergency and critical care specialist Dr. Garret Pachtinger.

IO catheters can make a crucial difference for neonate and pediatric patients in emergent situations.

Critical care calls for constant reassessment of the patient.

Some of the oddities Dr. Garret Pachtinger has seen involve consumed foreign bodies for sure, but sometimes the underlying cause is downright illicit.

What's new with an old-school system and what's new with new-school monitoring.

How often do you perform CPR in your practice? If discomfort with the process is your concern, here are some guidelines to help.

Dr. Garret Pachtinger has a way to take the edge of stress in the ER waiting room.

Dr. Garret Pachtinger explains how this technology is becoming more accessible in every-day practice, in terms of both cost and learning curve.

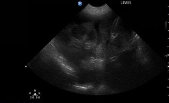
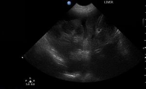
Since ultrasonography is becoming more accessible to all veterinary practitioners, learn all about this ultrasonographic examination protocol for trauma and start saving lives.

Pediatric and reproductive emergencies are common in both general practice and the emergency room setting and can be both extremely rewarding for the small animal practitioner.

Published: June 30th 2015 | Updated:

Published: June 30th 2015 | Updated:

Published: November 24th 2015 | Updated:

Published: December 8th 2015 | Updated:

Published: December 30th 2015 | Updated:

Published: April 1st 2016 | Updated: