
Products


Check out this week's highlights.

This comprehensive kit employs individualized health insights and information that can ultimately help extend dogs' lives by 3 years within the decade.
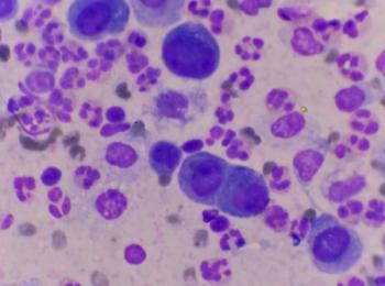
This breakthrough technology now offers both digital cytology and AI fecal testing in a single platform, displaying the company’s ongoing dedication to animal care diagnostics.

Here's our regular rundown of new and notable veterinary products.

A sneak peek of this week's headlines.

Butterfly iQ Vet is a first-of-its-kind single probe, whole-body ultrasound system for all species.

The global specialist in veterinary pharmaceuticals will have an exclusive license for equine ProVet APC and ProVet BMC.

A sneak peek look at this week's headlines.

In a recent dvm360® interview, Michelle Graziano, inside sales manager at Assisi Animal Health, explains the science behind how this product helps reduce canine anxiety.

Here's our regular rundown of new and notable veterinary products.

Anivive Lifesciences' Chief Commerical Officer Chad Todd, DVM, discussed the future of Anivive Lifesciences including the development of a new vaccine.

CYCLAVANCE™ oral solution marks the first FDA-approved liquid cyclosporine for dogs in the United States.

The pet biotechnology company is looking to collaborate with veterinary clinics to help advance its research studies focusing on areas of unmet needs in feline health.

The CBD line was created with the respect for the intensity, agility, and endurance canine athletes and working dogs experience.

Can these alternative ingredients enhance the nutritional value of meals for companion animals?

Check out this week's highlights.

From age and weight to each patient’s needs to type of parasite, this veterinarian outlines key considerations of this crucial step for young pets.

Virbac’s tigilanol tiglate injections (Stelfonta) has been approved by the FDA for treatment of the most common type of skin cancer in dogs.

Two laboratory studies demonstrate how sarolaner can prevent this infection by killing the infected ticks before they can transmit the bacteria.

Here's a sneak peek of this week's headlines.

MeasureON! canine wearable technology helps veterinary professionals monitor patients' health information while in or out of the clinic.

Here's our regular rundown of new and notable veterinary products.

Here are a few dental health solutions to consider when guiding owners through the process of at-home oral care routines in-between visits.

Here are a few of the latest natural canine dental products that can help safeguard your patients' health and prevent them from developing harmful oral diseases and conditions.

Learn how these artificial intelligence solutions can help advance your veterinary practice's capabilities.

Hemp-based capsules that promote patient health and healing are the first product of Pet Releaf’s Professional Line for veterinarians.

Check out this week’s highlights.

Here's our regular rundown of new and notable veterinary products.

With the release of Antech’s and IDEXX’s in-clinic digital cytology scanners, veterinary professionals can deliver fast results to clients and connect with pathologists like never before.