Demodicosis is a common dermatosis in dogs and is now a more recognized problem in cats.
Demodicosis is a common dermatosis in dogs and is now a more recognized problem in cats. Although follicular mites have been well-documented, new mite species residing in the follicular adnexa and on the surface epithelium have recently been identified. These newly observed species of Demodex mites have led to the identification of additional patterns of clinical disease. Conventional and newer miticidal therapies are available to veterinarians to treat this frustrating skin disease.

Illustration by Paul Chason
Dogs have three recognized species of Demodex mites. Clinically, the most common is Demodex canis. This mite is limited to the hair follicle and, rarely, the sebaceous gland. The D. canis mite develops through four life stages: a fusiform egg, a six-legged larva, an eight-legged nymph, and an eight-legged adult (Figure 1). Demodex canis is part of the normal cutaneous flora in dogs. Mite numbers are kept low by a dog's immune system.

Figure 1. An adult Demodex canis mite (40X).
Demodex injai, the large-bodied Demodex species mite, is larger in all life stages than D. canis (Figure 2).1 Histologic examination shows that these mites tend to reside within the sebaceous glands. Cases of D. injai infection are associated primarily with a dorsal seborrheic dermatitis.2,3

Figure 2. An adult Demodex injai mite (40X).
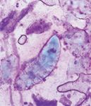
A newly identified short-bodied Demodex species mite has tentatively been named Demodex cornei. Unlike the other canine Demodex species mites, D. cornei can reside in the most superficial layer of the epidermis. It is 50% shorter than the adult form of D. canis (Figure 3).4,5 The clinical signs and treatment of D. cornei so far appear to be similar to those of D. canis.

Figure 3. An adult Demodex cornei mite (modified Wright's stain; 50X).
Canine demodicosis is separated into two categories according to the patient's age at the onset of disease. Juvenile-onset demodicosis typically occurs in dogs less than 18 months of age. When a dog is considered an adult may vary based on its breed. Animals that develop demodicosis after the completion of physical growth and development are considered to have adult-onset demodicosis.
Juvenile-onset demodicosis is further categorized as localized or generalized according to the extent of the disease. A variety of opinions exist on defining localized vs. generalized demodicosis. We consider a dog to have generalized demodicosis if the condition involves the feet, an entire body region, or several sites; is spreading; or has persisted for at least six months.
The exact pathogenesis of canine demodicosis is unknown but is suspected to be related to an aberration in the immune system. Juvenile-onset demodicosis is associated with genetics, poor nutrition, stress, and various breeds. The breeds considered to be predisposed to juvenile-onset demodicosis vary in different reports. Ultimately, any breed of dog can develop juvenile-onset demodicosis.
Adult-onset demodicosis is associated with systemic diseases (e.g. hyperadrenocorticism, hypothyroidism, diabetes mellitus, neoplasia) or with immunosuppressive therapies. Thus, a full physical examination, careful patient history taking, and laboratory testing (complete blood count, serum chemistry profile, urinalysis, microscopic fecal examination, heartworm testing) should be performed in all dogs with adult-onset demodicosis. Both systemic and topical immunosuppressive therapies can trigger demodicosis, so obtain a thorough drug history from the client. One of us has witnessed a case of adult-onset demodicosis apparently triggered only by the application of an otic glucocorticoid-containing product twice daily for one month.
The primary lesions of demodicosis due to D. canis include spontaneous alopecia, scaling, follicular casts (keratosebaceous material adhered to the hair shaft), papules, and comedones (Figures 4-6). Other lesions include crusts, erythema, hyperpigmentation, and lichenification. Demodicosis can occur with or without pruritus but is usually more pruritic if concurrent secondary infections are present. Demodicosis due to the short-bodied form of the mite (D. cornei) is often pruritic.

Figure 4. Nonpruritic spontaneous alopecia in a dog with adult-onset demodicosis.
Dogs with severe demodicosis involving concurrent deep pyoderma can present for evaluation of additional signs. If you note swelling, pain, peripheral lymphadenopathy, lethargy, fever, and draining tracts, suspect a deep pyoderma. Likewise, evaluate all dogs with deep pyoderma for demodicosis. A deep pyoderma is a potential dermatologic emergency because of the risk of sepsis.

Figure 5. Diffuse comedones in a dog. (Photo courtesy of Lauren Pinchbeck, MS, DVM, DACVD.)
Demodex canis infection can also cause ceruminous otitis externa. Otitis can occur in conjunction with demodicosis lesions elsewhere on the skin or be localized only in the ears.

Figure 6. Follicular casting in hairs plucked from a dog with demodicosis.
Clinical signs of D. cornei infection are similar to those of D. canis infection, but D. injai infection can have a different presentation. Demodex injai infection typically does not cause alopecia but instead is most commonly associated with an oily coat on the dorsum of the neck and trunk. This clinical sign is consistent with the observation of this mite histologically in the sebaceous glands of the skin. Demodex injai infection has been observed more commonly in terrier breeds, such as West Highland white terriers, and only a low number of mites may be found on skin scrapings.6
The clinical signs of canine demodicosis are from a folliculitis induced by the overgrowth of mites in the hair follicle. Any other dermatologic condition that results in inflammation of the hair follicle region will cause similar clinical signs. Differential diagnoses for folliculitis include demodicosis, bacterial skin infection (bacterial folliculitis or superficial pyoderma), and dermatophytosis.
Canine demodicosis is usually diagnosed by identifying mites in skin scrapings and hair plucks; however, other techniques for obtaining mites may be used.
Skin scrapings. Skin scrapings can be performed with a No. 10 scalpel blade (Figure 7) or with the blunt end of a metal spatula (Figure 8). To minimize the risk of a patient being injured during sampling, especially when performed by inexperienced team members, dull the scalpel blade first on a hard surface or use a metal spatula instead of a blade.

Figure 7. Using a scalpel blade to obtain skin scrape samples to diagnose demodicosis.
Obtain samples from lesional skin. The skin can be squeezed before or during the scrapings to promote extrusion of Demodex mites from the hair follicles. The skin or the scraping instrument can be wetted with mineral oil to better collect the sample. In a long- or medium-haired dog, gently clipping the area to be scraped will minimize the loss of the scraped material into the surrounding hair. Skin scrapings to identify follicular Demodex species mites should be deep enough to result in capillary bleeding.

Figure 8. Using a metal spatula to obtain skin scrape samples to diagnose demodicosis.
Transfer the scraped material to a slide, and place a coverslip to enhance sample examination and avoid contamination of the microscope objective with mineral oil. To make the mites easier to find, lower the microscope condenser and decrease the light on the microscope to increase the contrast in the microscope field. Evaluating the scraped material with the 4X or 10X microscope objectives is sufficient.
Evaluate skin scrapings for the approximate number of mites. Look for the presence and proportion of immature vs. adult mites. With an effective treatment plan, a decreasing proportion of immature mite forms may be the first sign of improvement. The presence of any mites—even dead mites or mite fragments—is considered a positive result.
Hair plucks. Hair plucks can be performed with mosquito hemostat forceps to grasp and pull hairs (Figure 9). If alopecic lesions are being sampled, collect hairs from the lesion's margin. You may squeeze the skin before or during the hair plucks to promote mite extrusion from the follicles. Place the plucked hairs on a glass slide with mineral oil, and add a coverslip. Sample multiple sites in each patient.

Figure 9. Using the hair pluck technique to obtain samples to diagnose demodicosis.
Hair plucks may be less sensitive in diagnosing canine demodicosis than skin scrapings are,7 but they are useful for areas of the skin that are difficult to scrape, such as the face and paws. Hair plucks can also be helpful if the sample area is already showing marked hemorrhage from ulceration or draining tracts. In these situations, it may be difficult to determine how deep to scrape, and it may be uncomfortable for the patient to have skin scrapings performed while awake (Figure 10).

Figure 10. A dog with demodectic pododermatitis. The diagnosis of demodicosis was missed on deep skin scrapes by the referring veterinarian because of the difficulty in scraping the ulcerated paws. Mites were found through hair plucks upon referral.
Exudative samples. In cases of canine demodicosis with concurrent deep pyoderma, direct examination of the exudate from pustules or fistulous draining tracts may also reveal mites. Collect samples by squeezing the exudate onto a glass slide, and add mineral oil and a coverslip.
Acetate tape preparations. Acetate tape can be used to detect the superficial canine mite D. cornei. Repeatedly press a piece of acetate tape to the skin and fur, and then lay the tape flat on a glass slide for microscopic examination. No mineral oil or staining is needed, but staining will not interfere with visualization of the mite. Lower the condenser on the microscope and decrease the light to increase the contrast in the microscope field. Evaluate the entire tape sample by using 4X or 10X microscope objectives.
Otic swabs. Demodectic otitis externa is best detected by collecting samples from the ears with cotton swabs. Roll swabs from each ear onto a glass slide, add mineral oil, and evaluate the slide after placing a coverslip.
General considerations. Although Demodex mites are part of the normal cutaneous flora in dogs, it is rare to find mites unless there is an overgrowth. If low numbers of Demodex mites are found on a skin scraping or hair pluck, sample additional sites. Finding large numbers of mites or immature forms of the mite at other sites supports a diagnosis of demodicosis.
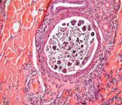
Occasionally, an overgrowth of Demodex mites may be missed even with properly performed skin scrapings and hair plucks, especially in dogs with thickened or fibrotic skin due to chronic dermatitis or because of their breed (i.e. Shar-Peis, bulldogs). If demodicosis is strongly suspected but no mites are found on skin scrapings and hair plucks, skin biopsy is recommended to evaluate for the presence of mites histologically (Figure 11).

Figure 11. Canine demodicosis on histologic examination. Multiple mites are present in the hair follicle (hematoxylin-eosin; 20X).
Fortunately, juvenile-onset localized demodicosis resolves spontaneously within one or two months in most dogs. Thus, miticidal therapy is not required unless the disease generalizes. It is important not to use mite-specific therapy in cases of localized disease in order to determine which patients progress to generalized disease. By not treating localized cases with miticidal therapies, dogs developing generalized disease can be identified and eliminated from breeding programs given the genetic basis of this disease. Furthermore, mite-specific therapy has potential side effects and presents an unnecessary risk in patients with potentially self-curing disease.
Localized demodectic lesions may benefit from topical antimicrobial agents such as mupirocin, benzoyl peroxide, chlorhexidine, or ethyl lactate when secondary pyoderma is present. The use of any glucocorticoid-containing product is contraindicated and could favor disease generalization. Evaluate the patient's overall health with special consideration to conditions affecting the immune system such as poor husbandry, poor nutrition, inoculation status, and internal parasitism. A clinical examination with skin scrapings two to four weeks after initial diagnosis is indicated to monitor for disease resolution or progression.
Generalized demodicosis can be one of the most frustrating skin diseases you will ever treat (Table 1). Counsel owners on the time (possibly up to a year or longer) and financial commitment required to treat this potentially life-threatening dermatosis. Premature treatment cessation by owners is a central reason for treatment failure. Since clinical signs often improve before parasitologic cure, it is paramount owners understand the need for regularly scheduled follow-up visits to ensure a successful outcome. A client handout may be helpful in educating clients about demodicosis.

Table 1: Treatment Summary for Generalized Demodicosis in Dogs
Some dogs less than 1 year of age with mild generalized disease may spontaneously recover. Clinical and microscopic observation over several weeks with no mite-specific therapy is an option if signs are mild. Elective sterilization to avoid disease propagation in the gene pool can be performed once any secondary pyoderma is controlled; however, the stress of anesthesia and surgery may promote disease progression.8
If clinical signs progress or mite numbers increase, miticidal therapy is indicated. A complete blood count, serum chemistry profile, and urinalysis are useful, particularly in adult dogs to exclude predisposing conditions or when deep pyoderma is a confounding factor. This minimum database taken in context with presenting clinical signs may lead to other diagnostic testing such as hormonal assays and stimulation studies. Treatment success is directly related to identifying and controlling underlying conditions. Nevertheless, demodicosis may precede an undiagnosed predisposing disease.
Superficial staphylococcal pyoderma is treated empirically by using a beta-lactamase-stable antibiotic for a minimum of four weeks (Table 2). In dogs with unresponsive superficial pyoderma or deep pyoderma or when rod-shaped bacteria are identified on cytologic examination, select antibiotic therapy based on bacterial culture and antimicrobial sensitivity testing. Continue antibiotic therapy until the pyoderma is clinically and cytologically resolved.

Table 2: Recommended Antibiotic Therapy for Staphylococcal Skin Infection in Dogs
Adjunctive topical therapy with an antibacterial shampoo may hasten clinical resolution. Common antibacterial shampoo ingredients include benzoyl peroxide, chlorhexidine, and ethyl lactate. Benzoyl peroxide-based shampoos are often recommended because of their keratolytic and supposed follicular flushing activity.9
All recognized Demodex mites in dogs appear to respond similarly to mite-targeted therapy. Treatment failure is rarely due to resistant mites. More frequent causes of treatment failure in canine demodicosis include poor pyoderma control, premature discontinuation of therapy, unsuccessful control of underlying conditions, and the use of concomitant glucocorticoids (Table 3). However, if a patient does not respond to the initial miticide, switch to another treatment option.10

Table 3: Reasons for Treatment Failure in Dogs with Demodicosis
According to a review of treatment protocols for canine demodicosis, amitraz, ivermectin, milbemycin oxime, moxidectin, and doramectin are all recommended for treating canine demodicosis.10 This same review found evidence that ronnel, lufenuron, and levamisole should not be used to treat canine demodicosis. Improper study design factors including patient selection, age of onset stratification, definition of cure, time to cure, and follow-up time were major limiting factors in evaluating the efficacy of some treatments. Thus, there was insufficient evidence for or against the use of many other treatments. Because of the safer therapeutic options available, organophosphates should not be used to treat demodicosis.
Amitraz. Topical amitraz is FDA-approved for treating generalized demodicosis in dogs older than 4 months of age. Amitraz, a miticide and insecticide, is a monoamine oxidase inhibitor (MAOI), prostaglandin synthesis inhibitor, and an alpha2-adrenergic agonist.10 Per the product label, amitraz liquid concentrate (Mitaban—Pfizer Animal Health) is to be used as a 0.025% (250 ppm) dip every two weeks for three to six topical treatments until no live mites are found.
Not all dogs can be cured with amitraz administered per the label protocol. Consequently, investigators have found greater cure rates by using various regimens of increased dip concentrations or frequencies.10,11 Overall, topical amitraz at 0.025% to 0.05% every seven to 14 days is recommended. A suggested protocol for amitraz is listed in Table 4.

Table 4: Protocol to Maximize Amitraz Dip Efficacy in Dogs
Pododemodicosis and demodectic otitis can be treated with an extralabel mixture of amitraz and mineral oil (1:9), although this mixture may irritate the otic epithelium in certain individuals.12 Before using an extralabel protocol, it is important to recognize that amitraz is a pesticide registered with the Environmental Protection Agency (EPA). This status makes it a federal violation to use amitraz in a manner contrary to its label. If the label protocol proves to be ineffective, it may be more acceptable to use a macrocyclic lactone instead of extralabel amitraz. Amitraz collars are not recommended for treating demodicosis.10
Amitraz dips are not without risk to dogs and their handlers. Many patients experience mild toxicosis seen as excessive lethargy for one or two days after dipping.8 More overt signs of toxicosis are similar to those seen with the use of alpha2-adrenergic agonists, including sedation, hypothermia, bradycardia, and hyperglycemia. Hyperglycemia is a potential concern in diabetic dogs and clients.13 The use of alpha2-adrenergic antagonists can reverse signs of toxicosis and can be used before dipping in patients with a history of adverse effects.13,14 Atipamezole (50 µg/kg intramuscularly) can reverse the signs of toxicosis within 10 minutes.13 Avoid antidepressants and MAOIs, such as selegiline, in dogs receiving amitraz. Animal handlers administering amitraz should wear protective clothing and apply it in a well-ventilated area. Personnel should be aware of the potential risk for drug interactions. Those with respiratory problems or diabetes should not use amitraz.15
A new spot-on formulation containing metaflumizone and amitraz (ProMeris—Fort Dodge Animal Health) is available in the United States to control fleas and ticks on dogs. This product was recently evaluated as a topical treatment for generalized demodicosis in a small study involving 16 dogs older than 1 year of age.16 Dogs were divided into two equal groups and treated with the spot-on at the proposed minimum dose rate (20 mg/kg of both metaflumizone and amitraz, 0.133 ml/kg) on days 0, 28, and 56 or days 0, 14, 28, 42, 56, and 70. Five sites were scraped for mites throughout the study. Clinical signs improved and mite numbers decreased for both treatment groups. For dogs that received three treatments every 28 days until day 56, 42.9% had negative test results for live mites and eggs. For dogs that received six treatments every 14 days until day 70, 62.5% had negative test results for live mites and eggs. Although the spot-on did improve clinical signs and reduce mite numbers, the study excluded dead mites and mite segments from evaluation. It is also unknown whether dogs cleared of mites relapsed after the study because skin scrapings were not obtained after the treatment was discontinued. The use of a spot-on is an exciting concept, but more critically evaluated trials are needed to substantiate this drug's efficacy in the long-term control of generalized demodicosis. It is important to recognize that ProMeris is registered with the EPA. This status makes it a federal violation to use it in a manner inconsistent with its label.
Macrocyclic lactones. Macrocyclic lactones include the avermectins (ivermectin and doramectin) and milbemycins (milbemycin oxime and moxidectin). This class of drugs selectively binds to glutamate-gated and gamma-aminobutyric acid (GABA)-gated chloride channels in the mite's nervous system, resulting in cell hyperpolarization, mite paralysis, and, finally, death. Macrocyclic lactones do not readily cross the mature mammalian blood-brain barrier.17 Safety in mammals is due to the lack of glutamate-gated chloride channels in the peripheral nervous system and the restriction of GABA to the central nervous system.
The ease of oral administration compared with dips makes macrocyclic lactones the first line of therapy for many dermatologists (Table 5). Unfortunately, the use of macrocyclic lactones for generalized demodicosis is considered extralabel, and there is no antidote to the potentially serious and life-threatening side effects. Also, dogs should have negative heartworm disease test results before macrocyclic lactone therapy is implemented. When using macrocyclic lactones for generalized demodicosis, the owner must understand its extralabel use and potential for side effects. Some dermatologists will have the owner sign a consent-to-treat form outlining this information before macrocyclic lactones use.

Table 5: Macrocyclic Lactone Dosages for Generalized Demodicosis in Dogs
Ivermectin—For generalized demodicosis, the injectable form of ivermectin is given orally at a dose of 300 to 600 µg/kg/day.10,12 The aqueous formulations may be more palatable than are the propylene glycol-based products. Adverse events are sporadic and include lethargy, edematous wheals, mydriasis, muscle tremors, and ataxia. The main concern is the development of signs attributable to severe neurotoxicosis including depression, stupor, coma, ataxia, and seizures; death can also result. Blindness has also been reported in dogs.18
To better identify ivermectin-sensitive dogs, one report recommends initially dosing ivermectin at 50 µg/kg/day and then incrementally increasing the dose by 50 µg/kg during the first days of treatment until the target dose is achieved.19 Another way to gradually increase the dose of ivermectin is to calculate the target dose and corresponding volume, and then give 25%, 50%, and 75% of the total volume for several days before reaching the therapeutic volume (Table 6). Because of the long half-life of the drug, ivermectin serum concentrations increase for weeks with daily dosing. Thus, patients need to be monitored for side effects during the first several weeks to months of therapy.10 The pour-on formulation of ivermectin is not effective in treating generalized demodicosis.10

Table 6: Example of Incrementally Increasing the Dose of Ivermectin in a Dog
Signs of ivermectin toxicosis can occur in any breed but are most common in ivermectin-sensitive breeds such as collies and other herding breeds.20,21 Ivermectin sensitivity is derived from a frameshift deletion mutation of the multidrug resistance gene (MDR1; the most recent nomenclature is ABC±), resulting in a severely truncated, nonfunctional protein product. The product of the MDR1 gene, P-glycoprotein, is a large ATP-dependent transmembrane protein transporter found in the blood-brain barrier among other tissues.22 P-glycoprotein pumps substrates (e.g. ivermectin and loperamide) within the brain back into the blood. Dogs homozygous for this mutation (MDR1-1 delta) display an ivermectin-sensitive phenotype, developing severe neurotoxicosis after a single dose of ivermectin.22 When ivermectin is deemed necessary for a dog, testing for the MDR1-1 delta genotype before its use is available through Washington State University's Veterinary Clinical Pharmacology Laboratory (www.vetmed.wsu.edu/vcpl). Dogs without an ivermectin-sensitive genotype can still show signs of toxicosis if ivermectin is given in conjunction with P-glycoprotein inhibitors (Table 7).

Table 7: Selected P-Glycoprotein Inhibitors*
Recently, the FDA issued a safety warning stating that some dogs have developed signs of ivermectin toxicity when high extralabel doses of ivermectin are used concurrently with spinosad (Comfortis—Eli Lilly).23 Additional information can be found in the Lilly Companion Animal Health Technical Bulletin (http://elms.xh1.lilly.com/10788_03_tech_Bulletin.pdf). Thus, dogs receiving ivermectin for the treatment of demodicosis should not receive concurrent treatment with spinosad.
Milbemycin oxime—Oral milbemycin oxime (Interceptor—Novartis Animal Health) is recommended at a dose of 1.5 to 2 mg/kg/day, although dose ranges of 0.5 to 3.1 mg/kg/day have been used.10,24,25 Cure rates vary but are better with higher doses. Ivermectin-sensitive breeds generally tolerate milbemycin oxime at the doses outlined above.26 Side effects of daily milbemycin oxime administration are similar to those of ivermectin and include depression, stupor, coma, ataxia, and seizures. The major limitation of this drug is expense.
We have treated demodectic otitis topically with a commercial solution containing 0.1% milbemycin oxime (MilbeMite Otic Solution—Novartis Animal Health); this use is considered extralabel.
Moxidectin—Few studies are available, but moxidectin (Cydectin injectable—Fort Dodge) given orally at 400 µg/kg/day can be effective in treating generalized demodicosis.10,27,28 Moxidectin can be started at a lower dose and then gradually increased to 400 µg/kg/day similar to ivermectin, as outlined above. Consider treatments other than moxidectin for ivermectin-sensitive breeds.29
Recently, an imidacloprid (10% w/v) and moxidectin (2.5% w/v) spot-on (Advantage Multi—Bayer Animal Health) was introduced in the United States as a heartworm, intestinal parasite, and flea preventive. A similar European product (Advocate—Bayer HealthCare) is labeled to treat and prevent flea infestation, treat ear mite infestation, treat sarcoptic mange, treat demodicosis (caused by D. canis), prevent heartworm disease, and treat gastrointestinal nematodes. This spot-on product was evaluated in the treatment of generalized demodicosis through a multicenter, randomized, blinded field trial during the registration process in Europe.30 Another group of dogs with generalized demodicosis was treated with daily milbemycin oxime and served as the control group. Dogs were treated with the spot-on two to four times, at four-week intervals, with the test product at the recommended dose of at least 0.1 ml/kg. Up to five body sites were scraped each month to look for Demodex species mites. Treatment was discontinued when two subsequent monthly skin scrapings were negative for living mites or at the last examination on day 84. At study end, 87% of the treated dogs and 88% of the control dogs had no live mites on skin scrapings with no difference in clinical response between the groups.
A limitation of the study is the exclusion of dead mites and mite segments from evaluation. It is also unknown whether dogs cleared of mites relapsed after the study because skin scrapings were not obtained after treatment discontinuation. Although this moxidectin spot-on appears to be equally effective when compared with milbemycin oxime in the treatment of generalized demodicosis using the criteria of this study, more long-term studies with stricter evidence for parasitologic cure are needed to corroborate these findings. Based on the experience of our European colleagues, treatment failures with this product are not uncommon.
Doramectin—Doramectin, another avermectin, has been used in a study involving 23 dogs that received weekly subcutaneous injections of 600 µg/kg.10,31 None of the animals showed adverse effects with doramectin; however, this drug should not be used in ivermectin-sensitive breeds of dogs. More research is needed to evaluate doramectin for treating demodicosis.10
Clinical signs and microscopic examination of skin scrapings are used to guide treatment for generalized demodicosis. Repeat skin scrapings every two to four weeks during treatment. Sample at least four to six affected body sites including the face and paws at each recheck. Obtain samples from the same body areas to consistently monitor the mite population. Once all scrapings are negative for mites at any developmental stage, including dead mites or mite fragments, a parasitologic cure can be declared.8,12
If eggs or immature mite numbers do not decrease over four to eight weeks, consider altering the dose or frequency of the given treatment. Miticidal treatment continues until two consecutive negative skin scrapings collected two to four weeks apart are obtained. Chronic cases benefit from an additional month of therapy beyond the two negative scrapings. A complete cure is declared if no relapses occur within 12 months from the time of treatment discontinuation.12
Cats have two recognized species of Demodex mites. Microscopically, Demodex cati is similar in appearance to the canine mite D. canis (Figure 12).32 Likewise, it lives in the hair follicle. Although difficult to find, D. cati may be seen in clinically healthy cats as part of the normal cutaneous flora.

Figure 12. An adult Demodex cati mite (50X).
The short-bodied cat Demodex mite is Demodex gatoi. Like D. cornei in dogs, it resides in the stratum corneum layer of the epidermis. Demodex gatoi is about 55% shorter than the average length of D. cati and has a rounded opisthosoma (tail) (Figure 13).33,34 This species is considered potentially contagious to other cats.

Figure 13. An adult Demodex gatoi mite (100X).
Clinical signs of feline demodicosis secondary to D. cati infection are generally similar to those of canine demodicosis secondary to D. canis infection. Alopecia, erythema, crusting, and ceruminous otic discharge can all occur with D. cati infection. Pruritus may or may not be present. Clinical demodicosis due to D. cati infection in cats is often related to mite overgrowth secondary to an underlying systemic disease or immunosuppression.35,36

Figure 14. Scaling on the dorsum of a cat with Demodex gatoi infection.
Cats with demodicosis secondary to D. gatoi infection typically present for evaluation of moderate to severe pruritus. Self-induced alopecia secondary to overgrooming may be noted. We have especially noted scaling on the dorsum and self-induced alopecia on the forelimbs of cats with D. gatoi infection (Figures 14 & 15). Clinical signs of D. gatoi infection are indistinguishable from those of cats with allergic or psychogenic dermatologic conditions. Demodex gatoi infection caused pruritus in multiple cats in one household and, thus, may be contagious between cats.37 While this mite was initially reported to have a geographic focus in the southern United States, unpublished reports of D. gatoi infection occurring in other areas of the country exist. Consider D. gatoi infection a differential diagnosis in any pruritic cat.

Figure 15. Patchy alopecia on the forelimb of a cat with Demodex gatoi infection.
Cats with feline demodicosis can be coinfected with both species of Demodex mites, and, in one such case, a cat had feline immunodeficiency virus (FIV) infection.38 Clinical signs included alopecia, pruritus, crusting, scaling, erythema, and papules.
Conduct a full physical examination, obtain a careful patient history, and perform laboratory tests (complete blood count, serum chemistry profile, microscopic fecal examination, feline leukemia virus and FIV testing) in all cats with demodicosis. Just as in dogs, both systemic and topical immunosuppressive therapies can trigger demodicosis in cats, especially in cases involving D. cati. Obtain a thorough drug history with special attention to glucocorticoid use from the client.
Multiple deep skin scrapings are recommended to detect the hair-follicle-dwelling D. cati mites. The skin scraping technique is similar to that for D. canis. Superficial skin scrapings can be used to detect the superficial mite D. gatoi. Scrapings obtained with broad strokes enable the evaluation of the largest surface area for D. gatoi. Demodex gatoi mites may be easier to find in samples from the lateral forelimbs and the intrascapular region, possibly because these areas are less susceptible to self-grooming and, thus, mite removal. Acetate tape preparations can also be used to detect D. gatoi. Regardless of the type of mite, always sample multiple sites.
Because of the grooming behavior of cats, Demodex species mites may also be found on fecal examination. Especially in cases in which D. gatoi is suspected, it may be helpful to perform skin scrapings on other cats in the household since asymptomatic cats may be less likely to remove this potentially contagious mite from the skin as a result of overgrooming. ?
Negative cytologic examination results from skin scrapings do not definitively rule out D. gatoi infection. Empirical therapy for D. gatoi infection is sometimes administered to pruritic cats to rule out demodicosis before pursuing additional testing for pruritic diseases or diagnosing psychogenic alopecia.
Feline demodicosis is less prevalent than canine demodicosis. Hence, less information is available regarding treatment. Treatment includes correcting any underlying disease as well as miticidal therapy.
Lime sulfur dips are the safest option and have been used at 1.6% to 2% every five to seven days for four to six or more weeks in cats infested with D. gatoi and D. cati.10 Lime sulfur dips can also be used on pruritic cats suspected to have D. gatoi infection. The higher concentration is more effective in eliminating these mites. Patient tolerance is enhanced by using a pump-up garden sprayer for application. Use lime sulfur on all in-contact cats when faced with D. gatoi infection, as this mite is potentially contagious to other felids.12,37 Using an Elizabethan collar is recommended until the product dries to prevent oral ingestion.
Although 0.0125% to 0.025% amitraz applied twice weekly to every other week is effective in treating infections with both species of feline demodectic mites,39 we do not recommend its routine use given other alternatives and the risk of toxicosis.
Topical organophosphates were reported to be effective in treating infections with both mites,40 but these chemicals are not recommended since safer alternatives are available.
No side effects were seen when three cats with D. cati infection were treated with doramectin (600 µg/kg subcutaneously weekly) for no more than three injections.31 This treatment resolved the demodicosis.
Anecdotally, ivermectin given orally at 300 to 600 µg/kg daily to every other day has been used to treat feline demodicosis. Ivermectin formulations containing the least amount of propylene glycol are recommended for cats. Because of the risk of neurotoxicosis41 and no perceived improved efficacy when compared with lime sulfur, ivermectin use is discouraged.
Weekly application of selamectin for six weeks did not eliminate D. cati or D. gatoi infections.42 We have not found the topical application of fipronil to be effective in controlling infestation with either mite.
Demodectic otitis can be treated topically with a 0.01% solution of ivermectin (Acarexx—Idexx) or a 0.1% solution of milbemycin oxime (MilbeMite Otic Solution), but they are not labeled for this use.
Canine and feline demodicosis are dermatologic conditions that you can diagnose by recognizing the clinical signs and using proper sampling techniques. Treatment failure is rarely due to resistant mites. More frequent causes of treatment failure include poor pyoderma control, premature discontinuation of therapy, unsuccessful control of underlying conditions, and the use of immunosuppressants such as glucocorticoids. Amitraz, ivermectin, and milbemycin oxime are recommended for treating canine demodicosis. Lime sulfur, especially, and ivermectin are recommended to treat feline demodicosis.
Download a client handout on demodicosis at veterinarymedicine.dvm360.com/Demodicosis.
Download a consent form for extralabel ivermectin usage at veterinarymedicine.dvm360.com/Consent.
1. Desch CE, Hillier A. Demodex injai: a new species of hair follicle mite (Acari: Demodecidae) from the domestic dog (Canidae). J Med Entomol 2003;40(2):146-149.
2. Bensignor E, Guaguere E, Prelaud P. Demodicosis due to Demodex injai in dogs: eight cases. Vet Dermatol 2006;17(5):356-357.
3. Hillier A, Desch CE. Large-bodied Demodex mite infestation in 4 dogs. J Am Vet Med Assoc 2002;220(5):623-627.
4. Chesney CJ. Short form of Demodex species mite in the dog: occurrence and measurements. J Small Anim Pract 1999;40(2):58-61.
5. Tamura Y, Kawamura Y, Inoue I, et al. Scanning electron microscopy description of a new species of Demodex canis spp. Vet Dermatol 2001;12(5):275-278.
6. Robson DC, Burton GG, Bassett R, et al. Eight cases of demodicosis caused by a long-bodied Demodex species (1997-2002). Aust Vet Pract 2003;33(2):64-72.
7. Saridomichelakis MN, Koutinas AF, Farmaki R, et al. Relative sensitivity of hair pluckings and exudate microscopy for the diagnosis of canine demodicosis. Vet Dermatol 2007;18(2):138-141.
8. Gortel K. Update on canine demodicosis. Vet Clin North Am Small Anim Pract 2006;36(1):229-241.
9. Scott DW, Miller WH, Griffin CE. Dermatologic therapy. In: Mueller and Kirk's small animal dermatology. 6th ed. Philadelphia, Pa: WB Saunders, 2001;207-273.
10. Mueller RS. Treatment protocols for demodicosis: an evidence based-review. Vet Dermatol 2004;15(2):75-89.
11. Kwochka KW, Kunkle GA, O'Neill Foil C. The efficacy of amitraz for generalized demodicosis in dogs: a study of two concentrations and frequencies of application. Compend Contin Educ Pract Vet 1985;7:8-17.
12. Scott DW, Miller WH, Griffin CE. Parasitic skin diseases. Mueller and Kirk's small animal dermatology. 6th ed. Philadelphia, Pa: WB Saunders, 2001;423-516.
13. Hugnet C, Buronfosse F, Pineau X, et al. Toxicity and kinetics of amitraz in dogs. Am J Vet Res 1996;57(10):1506-1510.
14. Hugnet C, Bruchon-Hugnet C, Royer H, et al. Efficacy of 1.25% amitraz solution in the treatment of generalized demodicosis (eight cases) and sarcoptic mange (five cases) in dogs. Vet Dermatol 2001;12(2): 89-92.
15. Avsarogullari L, Ikizceli I, Sungur M, et al. Acute amitraz poisoning in adults: clinical features, laboratory findings, and management. Clin Toxicol (Phila) 2006;44(1):19-23.
16. Fourie LJ, Kok DJ, du Plessis A, et al. Efficacy of a novel formulation of metaflumizone plus amitraz for the treatment of demodectic mange in dogs. Vet Parasitol 2007;150(3):268-274.
17. Macdonald N, Gledhill A. Potential impact of ABC± (p-glycoprotein) polymorphisms on avermectin toxicity in humans. Arch Toxicol 2007;81(8):553-563.
18. Kenny PJ, Vernau KM, Puschner B, et al. Retinopathy associated with ivermectin toxicosis in two dogs. J Am Vet Med Assoc 2008;233(2):279-284.
19. Mueller RS, Bettenay SV. A proposed new therapeutic protocol for the treatment of canine mange with ivermectin. J Am Anim Hosp Assoc 1999;35(1):77-80.
20. Paul AJ, Tranquilli WJ, Seward RL, et al. Clinical observations in collies given ivermectin orally. Am J Vet Res 1987;48(4):684-685.
21. Hopper K, Aldrich J, Haskins SC. Ivermectin toxicity in 17 collies. J Vet Intern Med 2002;16(1):89-94.
22. Mealey KL. Adverse drug reactions in herding-breed dogs: the role of P-glycoprotein. Compend Contin Educ Pract Vet 2006;28:23-33.
23. FDA,Center for Veterinary Medicine. Comfortis and ivermectin interaction safety warning notification. Available at http://www.fda.gov/cvm/CVM_Updates/ComfortisSafety.htm.
24. Miller WH Jr, Scott DW, Cayatte SM, et al. Clinical efficacy of increased dosages of milbemycin oxime for the treatment of generalized demodicosis in adult dogs. J Am Vet Med Assoc 1995;207(12):1581-1584.
25. Holm BR. Efficacy of milbemycin oxime in the treatment of canine generalized demodicosis: a retrospective study of 99 dogs (1995-2000). Vet Dermatol 2003;14(4):189-195.
26. Tranquilli WJ, Paul AJ, Todd KS. Assessment of toxicosis induced by high-dose administration of milbemycin oxime in collies. Am J Vet Res 1991;52(7):1170-1172.
27. Bensignor E, Carlotti D. Moxidectin in the treatment of generalized demodicosis in dogs. A pilot study: 8 cases. In: Kwochka KW, Willemse T, Von Tscharner C, eds. Advances in veterinary dermatology. Oxford: Butterworth-Heinemann, 1998;554-555.
28. Wagner R, Wendlberger U. Field efficacy of moxidectin in dogs and rabbits naturally infested with Sarcoptes spp, Demodex spp. and Psoroptes spp. mites. Vet Parasitol 2000;93(2):149-158.
29. Geyer J, Döring B, Godoy JR, et al. Development of a PCR-based diagnostic test detecting a nt230(del4) MDR1 mutation in dogs: verification in a moxidectin-sensitive Australian Shepherd. J Vet Pharmacol Ther 2005;28(1):95-99.
30. Heine J, Krieger K, Dumont P, et al. Evaluation of the efficacy and safety of imidocloprid 10% plus moxidectin 2.5% spot-on in the treatment of generalized demodicosis in dogs: results of a European field study. Parasitol Res 2005;97(suppl 1):S89-S96.
31. Johnstone IP. Doramectin as a treatment for canine and feline demodicosis. Aust Vet Pract 2002;32:98-103.
32. Desch CE, Nutting WB. Demodex cati Hirst 1919: a redescription. Cornell Vet 1979;69(3):280-285.
33. Chesney CJ. An unusual species of demodex mite in a cat. Vet Rec 1988;123(26-27):671-673.
34. Desch CE Jr, Stewart TB. Demodex gatoi: new species of hair follicle mite (Acari: Demodecidae) from the domestic cat (Carninvora: Felidae). J Med Entomol 1999;36(2):167-170.
35. Medleau L, Brown CA, Brown SA, et al. Demodicosis in cats. J Am Anim Hosp Assoc 1986;24:85-91.
36. Guaguere E, Olivry T, Delverdier-Poujade A, et al. Demodex cati infestation in association with feline cutaneous squamous cell carcinoma in situ: a report of five cases. Vet Dermatol 1999;10(1):61-67.
37. Morris DO. Contagious demodicosis in three cats residing in a common household. J Am Anim Hosp Assoc 1996;32(4):350-352.
38. Neel JA, Tarigo J, Tater KC, et al. Deep and superficial skin scrapings from a feline immunodeficiency virus positive cat. Vet Clin Pathol 2007;36(1):101-104.
39. Cowan LA, Campbell KL. Generalized demodicosis in a cat responsive to amitraz. J Am Vet Med Assoc 1988;192(10):1442-1444.
40. McDougal BJ, Novak CP. Feline demodicosis caused by an unnamed Demodex mite. Compend Contin Educ Pract Vet 1986;8(11):820-822.
41. Steenbergen VM. Proper use of ivermectin in cats. Vet Tech 2005;26(3):211-213.
42. Beale KM, Rustemeyer-May E. Selamectin in the treatment of feline Demodex, in Proceedings. 16th Annual Meet Am Acad Vet Dermatol Am Coll Vet Dermatol, 2001.
From exam room tips to practice management insights, get trusted veterinary news delivered straight to your inbox—subscribe to dvm360.