EPA shift away from anticoagulant rodenticides means increased exposure to neurotoxin with no known antidote.
In 2008, the U.S. Environmental Protection Agency (EPA) mandated that by 2015, all consumer-marketed rodenticides had to meet specific regulations designed to reduce rodenticide exposure to children, wildlife and pets. The most important result, in our view, was the restriction of second-generation anticoagulant rodenticides, which means that non-anticoagulant rodenticides-primarly bromethalin-have taken over the marketplace.
Predictably, human exposure to bromethalin has increased.1 Following suit, companion animal exposures have also risen.2 We personally have studied five cats in the last six months from practices along the eastern coast of the U.S. with bromethalin intoxication that resulted in severe neurologic signs and eventual death.
Why bromethalin matters
Bromethalin poses a serious hazard to companion animals. First, it's difficult to prove intoxication. Moreover, bromethalin lacks both an antidote and a specific therapy to reverse its pathological effects. The combination of an increase in sales and consequently an increase in exposures along with a lack of treatment makes it imperative for veterinarians to be aware of the dangers that bromethalin poses to pets.
Mechanism of action
Bromethalin is rapidly absorbed from the gastrointestinal tract and is metabolized to a more potent metabolite, desmethylbromethalin.3 Bromethalin uncouples oxidative phosphorylation.4 In the central nervous system (CNS), this results in decreased production of adenosine triphosphate (ATP), leading to an intracellular influx of sodium and water (cytotoxic edema) in the brain.3,5-7 Bromethalin also causes splitting of myelin sheaths (intramyelinic edema).3,5-7 Brain edema results in increased intracranial pressure, which causes neurologic dysfunction and ultimately death.3,5
Clinical signs of bromethalin intoxication
Clinical signs of intoxication can be classified as acute or chronic related to the amount ingested. The median lethal dose (LD50) for a variety of species is presented in Table 1. Ingestion of greater than two times the LD50 results in acute toxicosis. Signs include hyperexcitability, seizures, whole body tremors, pelvic limb ataxia and weakness, anisocoria, blindness, abnormal nystagmus, and coma. Death can result from respiratory arrest.3,5-7 Typically signs develop within eight to 12 hours but may occur as soon as two to four hours after ingestion.3
Experimentally, dogs administered 6.25 mg/kg orally displayed signs within six to eight hours and died within 15 to 63 hours.6 Cats administered 0.45 mg/kg orally displayed signs within four to seven days.7
Ingestion of a single dose at the LD50 level or multiple doses below the LD50 results in chronic toxicosis. Signs of chronic toxicosis are similar to acute toxicosis. They tend to manifest in days or as early as 12 to 24 hours after ingestion3 and include lethargy, pelvic limb weakness that progresses to paralysis, and absent sensation.3 Experimentally, animals that ingest a lethal dose may survive up to 20 days and may even recover.5,7
Table 1: Median lethal dose (LD50) of bromethalin by species
Species
LD50
Cat
1.8 mg/kg*
Dog
4.7 mg/kg
Rat
2.0 mg/kg
Mouse
5.3 mg/kg
Rabbit
13 mg/kg
Guinea pig
> 1000 mg/kg
Source: van Lier RB, Cherry LD. The toxicity and mechanism of action of bromethalin: a new single-feeding rodenticide. Fundam Appl Toxicol 1988;11:664-672.
*One study reports the LD50 for cats to be 0.54 mg/kg; see Dorman DC, Zachary JF, Buck WB. Neuropathologic findings of bromethalin toxicosis in the cat. Vet Pathol 1992;29:139-144.
Diagnosis
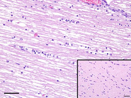
Establishing a definitive diagnosis of intoxication is difficult. Frequently, a definitive diagnosis is made by postmortem examination of the CNS. Grossly, the brain and spinal cord often appear normal, but foramen magnum herniation of the cerebellar may be observed (Figure 1). Microscopically there is widespread spongy degeneration (vacuolation) of the CNS white matter (Figure 2).3,5-7 Definitive proof of intoxication requires measurement of bromethalin/desmethylbromathelin tissue concentrations.

Figure 1. (A) Subgross, transverse section of the cerebrum of a cat with bromethalin intoxication. Note the loss of staining of the white matter (black arrow). (B) Subgross transverse section of the cerebrum of a normal cat brain at approximately the same level as in (A). The white matter is easily identified based on its staining (white arrow). Hematoxylin and eosin staining. Image courtesy of Drs. Marc Kent and Eric Glass.

Figure 2. Severe vacuolation of the white matter is apparent in the cerebrum as a result of intramyelinic edema. Inset: Normal appearance of CNS white matter from a cat with a normal brain. The cerebral white matter is compact and avidly stains (hematoxylin-eosin; 40x magnification; bar = 50 micrometers). Image courtesy of Drs. Marc Kent and Eric Glass.
An antemortem diagnosis can be made presumptively if someone has witnessed the animal ingesting the product. The appearance of green-blue dye in vomitus or feces may also imply ingestion (Figure 3)-the EPA mandates that an indicator dye be incorporated into all rodenticides sold on the consumer market. It's important to note that signs may not develop for days and may initially progress slowly. Consequently, owners and veterinarians may not have a high index of suspicion for bromethalin. Moreover, the results of minimal database tests (complete blood count, serum chemistry profile and urinalysis) are typically normal.

Figure 3. The vomitus from a dog that was seen eating bromethalin containing rodenticide. After administration of an emetic, the vomitus was inspected for the green-blue indicator dye, which confirms ingestion. Photo courtesy of James Hammond, DVM, DACVIM (neurology), and Jennifer Perkins, VMD, DACVIM (neurology), Piper Memorial Animal Hospital, Middletown, Connecticut.
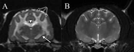
In such cases, magnetic resonance imaging (MRI) of the brain can provide valuable information regarding intoxication. T2-weighted MRI sequences can disclose marked hyperintensity of the CNS white matter as a result of edema (Figure 4). In addition, cytotoxic edema and intramyelinic edema may be observed using an MRI sequence called diffusion weighted images (DWI) and apparent diffusion coefficient (ADC) maps. White matter hyperintensity on DWI and hypointensity on ADC maps strongly support intramyelinic edema (Figure 5). Although not pathognomonic, taken together, neurologic dysfunction and MRI findings suggestive of intramyelinic edema provide strong evidence of bromethalin intoxication.

Figure 4. (A) A transverse T2-weighted image of the cerebrum at the level of the thalamus of a cat with bromethalin intoxication. The white matter of the corpus callosum (arrowhead), corona radiata (open arrows) and internal capsule (closed arrow) shows severe hyperintensity (white) consistent with edema. The topography of the MRI abnormalities exactly matches the topography of the histology. (B) A transverse T2-weighted MRI from a cat with a normal brain. Note that the white matter is normally hypointense (dark). Photo courtesy of Drs. James Hammond and Jennifer Perkins.

Figure 5. (A) A transverse DWI at the level of the rostral cerebrum from a cat with bromethalin intoxication. The same white matter structures--the corpus callosum (arrowhead), corona radiata (asterisk), and internal capsule (arrow)--are hyperintense (b value = 1,000 mm2/s ) secondary to edema. (B) On the corresponding ADC map, the same hyperintense white matter structures are hypointense, consistent with intramyelinic edema. (C) A transverse DWI at the level of the cerebrum and thalamus of a normal cat. Note the hypointense appearance of cerebral white matter (arrow) and cerebrospinal fluid in the third ventricle (arrowhead). (D) A corresponding ADC map shows little change in the intensity of the white matter. Note that the normal appearance of cerebrospinal fluid on the ADC map is hyperintense (arrowhead). Image courtesy of Drs. James Hammond and Jennifer Perkins.Where to measure bromethalin/desmethylbromethalin concentrations
Documenting tissue concentrations of bromethalin or its metabolite, desmethylbromethalin, solidifies a definitive diagnosis. The California Animal Health and Food Safety toxicology service offers reliable and inexpensive analysis of tissues (fat and liver specimens) as well as serum.8 Despite an expedient turnaround time, analysis still may take several days.
How to help intoxicated animals
Intravenous lipid emulsion therapy can help reduce blood concentrations in animals that have recently consumed bromethalin.9 But sadly, in animals displaying neurologic signs, specific therapy does not exist. Instead, therapy is largely supportive involving osmotic diuretics and corticosteroids.10 Activated charcoal may help eliminate residual chemical in the gastrointestinal tract.10 Still, despite aggressive supportive care measures, intoxicated animals usually succumb.
What to do now
Ultimately, client education regarding the hazards of bromethalin may help prevent exposure. As mandated by the EPA, rodenticides should be used following manufacturers' guidelines and only in conjunction with bait traps in areas pets can't access.
The veterinary community should consider applying pressure to legislative agencies to seek changes in EPA policies to restrict bromethalin. Getting the word out is an imperative first step. Reaching out to your local legislator via phone, email or-best-personal contact and working through the American Veterinary Medical Association (AVMA) Congressional Advocacy Network and AVMA lobbyists can help.
References
1. Huntington S, Fenik Y, Vohra R, et al. Human bromethalin exposures reported to a U.S. Statewide Poison Control System. Clin Toxicol (Phila) 2016;54:277-281.
2. JAVMA News. Journal of the American Veterinary Medical Association 2014;245:152-171.
3. van Lier RB, Cherry LD. The toxicity and mechanism of action of bromethalin: a new single-feeding rodenticide. Fundam Appl Toxicol 1988;11:664-672.
4. Dorman DC. Toxicology of selected pesticides, drugs, and chemicals. Anticoagulant, cholecalciferol, and bromethalin-based rodenticides. Vet Clin North Am Small Anim Pract 1990;20:339-352.
5. Dorman D, Parker AJ, Buck WB. Bromethalin toxicosis in the dog. Part I: clinical effects. Part II: selected treatments for the toxic syndrome. J Am Anim Hosp Assoc 1990;26:589-594.
6. Dorman DC, Simon J, Harlin KA, et al. Diagnosis of bromethalin toxicosis in the dog. J Vet Diagn Invest 1990;2:123-128.
7. Dorman DC, Zachary JF, Buck WB. Neuropathologic findings of bromethalin toxicosis in the cat. Vet Pathol 1992;29:139-144.
8. Filigenzi MS, Bautista AC, Aston LS, et al. Method for the detection of desmethylbromethalin in animal tissue samples for the determination of bromethalin exposure. J Agric Food Chem 2015;63:5146-5151.
9. Heggem-Perry B, McMichael M, O'Brien M, et al. Intravenous Lipid Emulsion Therapy for Bromethalin Toxicity in a Dog. J Am Anim Hosp Assoc 2016;52:265-268.
10. Peterson ME. Bromethalin. Top Companion Anim Med 2013;28:21-23.
Dr. Eric Glass is a neurologist with Red Bank Veterinary Hospital, part of Compassion-First Pet Hospitals, in the Section of Neurology and Neurosurgery. Dr. Marc Kent is a neurology professor at the University of Georgia College of Veterinary Medicine.
From exam room tips to practice management insights, get trusted veterinary news delivered straight to your inbox—subscribe to dvm360.