
Chatsworth, Calif. - A California relief veterinarian is polling pet owners about the use of medical marijuana in animals with the goal of using the survey's results to leverage a clinical study about the drug's efficacy in relieving pet pain.

Chatsworth, Calif. - A California relief veterinarian is polling pet owners about the use of medical marijuana in animals with the goal of using the survey's results to leverage a clinical study about the drug's efficacy in relieving pet pain.

National Report - Atropine sulfate has just been added to the list of medically necessary veterinary drugs in short supply, reports the U.S. Food and Drug Administration (FDA).

New research into this training tool brings insight-and controversy.

Reserachers at the University of Missouri believe they have found a way to speed up the diagnosis of infections in dogs and cats.

A new gene microarray containing hundreds of pieces of DNA strands could be the key to understanding the brain responses of horses infected with West Nile virus.

Healthy Eats : Pet Nutrition is a Team Effort

See what these tests can already do for you and your patients-and what the future holds.

Reference for Iams Nutrition Insider for the Veterinary the Veterinary Team, Vol. 4, Issue 1

National Report - Veterinarians and medical researchers at the University of Pennsylvania and Cornell University have identified a gene that causes a blindness-inducing disease in dogs.

AAHA offers new guidelines for anesthesizing dogs and cats.

When a cat experiences seizures that do not impact the entire body, this may indicate changes in the hippocampus of the cat's brain.

The vaccine shows an increase in survival time for dogs with spontaneous non-Hodgkin's lymphoma.

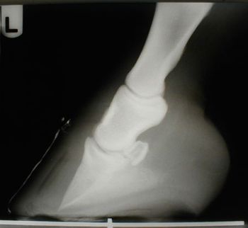
How to meet the mathematical needs of the higher grades of laminitis.

Rockville, Md. -- The Food and Drug Administration (FDA) just approved the veterinary drug Prascend (pergolide mesylate for the control of clinical signs associated with Pituitary Pars Intermedia Dysfunction (PPID or Equine Cushing's disease) in horses.

Madison, Wis. - Twenty-five cases of eastern equine encephalitis (EEE) have been documented in Wisconsin since late August and the number of confirmed cases is expected to grow.

National Report - Researchers are making progress in the push to create new methods for non-surgical sterilization.

About 30 cases of H3N8 canine influenza were confirmed and 60 others were suspected.

Drug shortages are becoming more common, and the trend could be getting worse, veterinary officials report.

Rockville, Md. - The Food and Drug Administration reports it built a new network of epidemiologists and other public-health experts to improve response to human and animl foodborne illness outbreaks.

Tips and tricks to ensure you don't ruin this essential, expensive equipment.

Be ready to answer these client questions to ensure a successful housetraining process.

New York, N.Y. - A novel new study at the Animal Medical Center (AMC) is investigating the impact of intra-arterial injection of stem cells on chronic kidney disease in cats and protein-losing nephropathy in dogs.

Fort Collins, Colo. - To save a dog's leg, a veterinary orthopedic surgeon tried something radical.

Dr. Victoria Lukasik busts a myth and offers a tip on how to subdue a fractious cat.

Veterinary association reviews core and non-core vaccinations for dogs and cats, offers more information on adverse events.

Washington, D.C. - USDA is considering new health requirements for dogs imported into the United States.

A physical therapist shares her story.

This typically human disorder may occur in dogs as well.
