
Medical


Gainesville, Fla. -- Veterinarians at the University of Florida say they can perform surgical removal of heartworms in severe cases.

PDF of the feline household resources form.

A grab-bag of interesting skin diseases in cats from the CVC.

Nonprofessional dental scaling misses serious disease below the gum line and can damage teeth.

When police found him, Bernie had severe, third-degree burns on all four feet, and on his back and belly.

Helpful pointers to give clients to humanely housetrain their dogs.

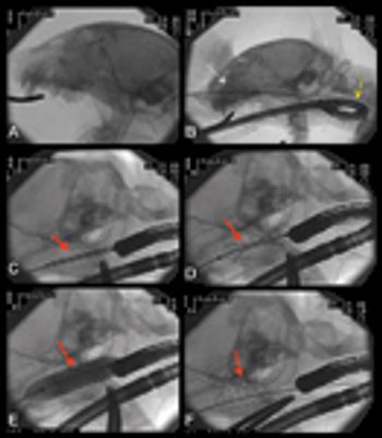
See how interventional radiography and endoscopy can help you identify and treat this abnormality in this case study.

Early identification is key in this widespread neurologic disease.

Davis, Calif. - Veterinarians at the University of California-Davis (UC-Davis) say they have developed two genetically engineered vaccines to combat Rift Valley fever, a mosquito-borne disease that affects livestock in the Middle East and Africa.

National Report - Parvovirus cases have spiked in some parts of the country, with veterinarians in New York and Arizona reporting increases of 75 percent and 330 percent, respectively.

The first part of this session will discuss increased or atypical WBC morphology and describe clues to determine whether the process is leukemic or reactive in origin.

Mycobacteria do not stain with routine cytologic stains and can be difficult to visualize. However, careful examination of the cells and background material reveals the presence of distinctive negatively stained thin rod present both intra- and extracellularly.

Small lymphocytes are smaller in size than a neutrophil and have a round nuclei that takes up the majority of the cell. The nuclei contain densely aggregated chromatin forming large chromocenters (condensed chromatin).

Fine needle aspiration (FNA) cytology is an excellent adjunctive tool for evaluating internal organs. It is often diagnostic, requires little specialized equipment, and can rapidly provide useful information.

Normally, only a small amount (milliliters) of fluid are present in the thorax and abdomen. Effusions, defined as an accumulation of fluid in one or more body cavities result from multiple causes including increased hydrostatic pressure, decreased oncotic pressure, increased vascular permeability, decreased lymphatic drainage, infection, neoplastic infiltration, or rupture of organs or structures within the cavity.

Cytolopathology: the laboratory and microscopic evaluation of cells and fluids. Sources of cells include tissue aspirates, imprints, scrapings, body fluids, or lavage fluids.

Non-steroidal anti-inflammatory drugs (NSAIDs) have been a mainstay of veterinary analgesia for many years. They are frequently used for the treatment of lameness, abdominal pain, inflammation, and fever.

Opioids are classically used for analgesia in cases of moderate to severe pain. They can have other uses and effects, however. Sedation, calming/euphoria, and chemical restraint can all be achieved through opioid use in animals.

The veterinary practitioner may be involved in some cases where pain management with NSAIDs or opioids is not possible due to the unacceptable risk of adverse effects.

Antimicrobial drugs are the most frequently prescribed drugs in veterinary medicine. They are also frequently used incorrectly, which can lead to treatment failure and the development of resistant bacteria.

This class of antibiotics includes the penicillins, the cephalosporins, and the carbapenems. They have excellent activity against most gram-positive bacteria, and very few associated side effects.

Treatment failures can occur due to the presence of resistant bacteria, such as methicillin resistant Staphylococcus aureus/pseudintermedius, extended-spectrum beta-lactamase producing Enterobacteriaceae, or vancomycin resistant enterococci

Clinically significant drug interactions are rarely reported in veterinary medicine, however the incidence is probably far greater than is reported.

The use of compounded products in veterinary medicine is a common practice due to the lack of approved veterinary drugs and convenient, palatable administration forms.

The term adverse drug reaction includes any undesired effect of a drug, including a lack of the desired effect. Adverse reactions to veterinary drugs can range from minor to severe and life-threatening.

Although newer therapies are being developed in humans that allow a certain targeting specificity, immunosuppressive therapy in dogs and cats is largely based on the use chemotherapeutic drugs.

Feline asthma consists of an inflammatory disorder of the lower respiratory system of cats that results in bronchoconstriction and limited airflow to the lungs.

For many years, short and long-term therapy of epileptic disorders in dogs and cats has been based on the use of benzodiazepines (e.g. diazepam), barbiturates (e.g. phenobarbital) and bromide, either individually or with different combinations.

Polypharmacy is increasingly common in the prevention and treatment of diseases in animals. Drug-drug interactions represent one common event associated with multidrug therapy that may interfere with optimal clinical outcome.