
No is the abbreviation for Norway and the element Nobelium.

In the item "A tip for laser tips" in the December 2007 "Idea Exchange," plastic needle covers are used as containers for sterilizing laser tips.

Hartford, Conn. - Veterinary medicine's leaders oppose a bill that seeks to outlaw non-therapeutic cat declawing in Connecticut and strip the licenses of DVMs caught violating the ban.

National Report - Some call it evolutionary. Others consider it a mistake. No matter how it's defined, limiting the licenses of veterinarians is stirring national debate, from college classrooms to the American Veterinary Medical Association (AVMA). The outcome could mean licensure limitations, experts say.

The panel moderator acknowledged the elderly, silver-haired gentleman at the microphone. "It's a pleasure to have you with us again, Doctor." The old man, professor emeritus, famous veterinary surgeon, author of a text that was required reading for most members of the audience during their schooling, nodded, smiled, and waved his hand toward the stage.

Is your practice upside down?

Just before performing venipuncture in front of a patient's owner, I always ask the owner a question that will elicit a long answer.

Richmond, Va. - Reported cases of animal rabies in the state have spiked to their highest number since 1982, according to Virginia health officials.

In A Handbook of Horse-Shoeing, published in 1898, Dr. A. W. Dollar described the correct manner for evaluating a horse prior to fitting shoes. "The horse must be seen both at rest and in motion," wrote Dollar, "the object being to form a clear idea of the conformation and action of the limb, of the form and condition of the hoof, of the way in which the horse brings the foot to, and lifts it from, the ground."

College Station, Texas - Two equine veterinarians, one in academia and one in private practice, were inducted into the International Equine Veterinarians Hall of Fame, recognizing their contributions to the advancement of equine foot care.

There's an old axiom in the veterinary profession that the field essentially is recession-proof.

Ft. Lauderdale, Fla. - The Florida Board of Veterinary Medicine clarified that DVMs must be present during microchipping, despite strong opposition from shelter representatives.

Portland, Ore. - A new Oregon law requires practice owners, among others, to develop, implement and maintain reasonable safeguards to ensure the security, confidentiality and integrity of sensitive personal information.

Congenital portosystemic shunts usually are single vessels that develop inside or outside the liver (Photo 1). Because these vessels carry blood around the liver instead of through it, the normal hepatic processes of metabolism, storage and production are disrupted. Most animals with congenital portosystemic shunts (CPSS) present with mild to moderate clinical signs that are not life-threatening. The most critical component for their long-term treatment is restriction of dietary protein to reduce substrates for ammonia formation by colonic bacteria. Diets for dogs with CPSS should be 15 percent to 20 percent protein on a dry-matter basis, readily digestible, high in zinc and vitamin E, and low in manganese. Sources of gastrointestinal hemorrhage (gastritis, parasites), which provide additional protein substrate, should be treated. Ammonia production and absorption can be reduced by administration of lactulose, antibiotics such as neomycin or metronidazole, or unflavored yogurt with active cultures. Cystitis..

After administration of ABS to geldings and mares, stallion-like behavior was observed.

It is not often that one is able to bear witness to a sea change. The veterinary community has, in my opinion, seen one with the development of the melanoma vaccine. This unique form of therapy, a DNA-based vaccine, would justify my opinion, but the successful collaboration between veterinary oncologists, human oncologists and the pharmaceutical industry also serve to mark this event as extraordinary.

Dallas - Far from television characterizations as a city filled with cowboy hats, bolero ties and society debutantes, the reality is that the Dallas area is economically strong, with a thriving job market and stable housing.

In the January 2008 issue, the article "Toxicology Brief: Sodium hypochlorite bleach ingestion in two dogs" states that lactated Ringer's solution was used to treat hypernatremia and hyperchloremia. It seems that a fluid such as dextrose 5% in water may be more appropriate, as well as something without sodium to replenish bicarbonate.

Sacramento, Calif. - West Hollywood City Council promises to fight California Veterinary Medical Association (CVMA)-backed legislation that would bar local governments from criminalizing state regulated and sanctioned procedures.

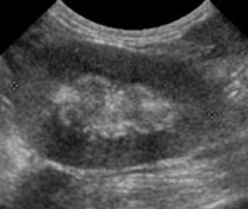
Chronic renal disease is one of the most common ultra-sonographic findings in older cats. If you're doing ultrasounds on cats, you're sure to see signs of chronic renal changes daily.

Tallahassee, Fla. - A deal between Florida officials and Google Inc. soon will allow the public easy access to licensee records in all state-regulated professions, including veterinary medicine.

As an aspiring veterinarian, I spend a great deal of time reading your informative journal.

Baton Rouge, La. - Louisiana State University School of Veterinary Medicine launched a program that trains students in underserved area animal shelters.

Lexington, Ky. - The Thoroughbred racing industry will look for ways to attract and retain more regulatory veterinarians, improve track surfaces to reduce injuries and develop a research and development plan for drug testing.

As discussed previously, the emergence of a "reasonable physician" standard of care affects both human and veterinary practitioners, defining our approach to error management. Under this standard, adverse events previously defensible by deference to custom might now result in decisions of negligence if it is determined that such events were easily preventable.

National Report - Real-estate foreclosures for February were up nearly 60 percent from the same period a year ago, and pet relinquishments aren't far behind, officials report.

We have adapted NBC's hit reality show "The Biggest Loser" for our canine patients.

Gainesville, Fla.- Canine flu has been circulating in the United States canine population since at least 1999, according to a recent University of Florida (UFL) College of Veterinary Medicine (CVM) study.

We have always had trouble using ink to label the plastic bottles in our exam rooms and lab areas (e.g. alcohol, peroxide, lubricant).

Hershey, Pa. - The Pennsylvania Veterinary Medical Association (PVMA) honored Dr. Michael A. Obenski with the association's 2007 Dr. A. Wayne Mountan Memorial Media Award.