
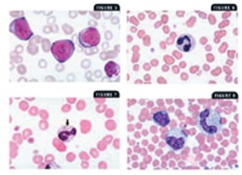
In this article, we again use a question-based format to guide you in evaluating the leukon by assessing white blood cell numbers and morphology.
In this article, we again use a question-based format to guide you in evaluating the leukon by assessing white blood cell numbers and morphology.
Vet-Kem Ovitrol Insect Towelettes offer a way to treat and prevent most insects from biting pets.
Jorgensen Laboratories, Inc. introduces the P-Cup urine retrieval system.
Wound Wear Inc. introduces a recovery brace.
Veterinarians worry about money.
LOS ANGELES-The company that genetically engineered an allergy-free cat says it will need veterinary help in certifying its animals, but it comes with a price tag.
Rio Vista Products introduces a promotion in the Rio Vista rewards program.
S&M NuTec, LLC introduces Greenies, a dental treat for dogs that decreases tarter and plaque, freshens breath and improves digestion, the company says.
Precious Cat Inc. introduces a litter additive designed for cats that aren't using their litter boxes.
IDEXX Labor-atories Inc. announces the launch of a new testing capability for the VetTest? Chemistry Analyzer that will allow veterinarians to obtain a urine protein to urine creatinine ratio in-house.
Buck Mountain Liver Health for Animals is a USDA certified organic Milk Thistle (silymarin) seed.
Making money doesn't guarantee a successful and rewarding career or an enjoyable retirement. What you do with the money's far more important.
SmartScrubs? introduces new S.C.R.U.B.S. prints in its new catalog from www.smartscrubs.com.
BOURNEMOUTH, GREAT BRITAIN-The first DNA-based test that can diagnose a range of diseases within 30 minutes will be tested in British hospitals.
In preparing this article, my mind races back to my days as a veterinary student at Colorado State University. One of the more vivid memories I recall involved my surgery partner. He was performing a femoral head resection. The stockinette leg slips up his arm, and he grabs it with his lower jaw and shoulder just as the surgery professor walks up.
Long ago, before you even made application to veterinary school, you had a vision; you had a vision of what you wanted to accomplish once you had that license of Doctor of Veterinary Medicine in your hand.
We often hear baby boomer veterinarians grumble in their microbrews about the independent attitudes of thirty-something colleagues and even younger employees.
Urbana, Ill.-The University of Illinois's (UI) veterinary college has added personal computers in the form of tablets to the classroom.
Cleveland-Though many veterinarians fret about student loans prohibiting them from buying a practice, the real killer is revolving credit, such as credit cards and car loans.
Ames, Iowa-With the country facing a shortage of food animal practitioners, aspiring veterinarians at Iowa State University (ISU) are arming themselves with a program designed to reign students into the profession.
As a new associate fresh out of school, it's probably safe to assume you would like to find a practice where "everybody knows your name."
Bismarck, N.D.- Kansas State University (KSU) and North Dakota officials are planning to bring North Dakota residents to KSU to earn veterinary degrees without paying out-of-state fees.
Loss of nephrons in CRF results in afferent glomerular arteriole vasodilatation causing intraglomerular pressure to increase.
A laser is a device that transmits light of various freuqnecies into an extremely intense, small and nearly non-divergent beam of monochromatic radiation...
Aspirates of the liver and spleen are indicated if these organs appear abnormal ultrasonigraphically.
The high incidence of seizures in some breeds suggests a strong genetic component to the disease...
Cats with experimentally-induced pancreatitis showed significantly increased serum lipase activities, but cats with spontaneous pancreatitis did not.
New YORK-Veterinary Metrics Inc. and Pfizer animal Health are launching an aggressive senior marketing campaign designed to promote awareness of senior-health issues, such as canine arthritis.
In this particular case, I got a complete history after just three repeated attempts to listen to the chest.